Tumor na coluna tem cura? Sinais de alerta
Saiba quando tumor na coluna tem cura e os tratamentos disponíveis.

Tumor na coluna tem cura? Essa é uma dúvida comum que chega no consultório quando a dor nas costas foge do padrão, dura semanas ou aparece junto de formigamento e fraqueza.
A resposta depende do tipo de lesão, do local, do tamanho, do quanto ela afetou nervos e ossos e, principalmente, do resultado da biópsia.
Em alguns casos, a cura é um objetivo real. Em outros, o foco é controlar a doença, aliviar a dor e preservar a função.
O que é um tumor na coluna
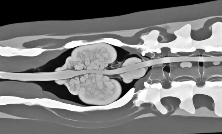
Tumor na coluna é o crescimento anormal de células que vira uma massa. Essa massa pode surgir dentro do osso da vértebra, ao redor dele, ou bem perto da medula e das raízes nervosas.
Existem dois grupos principais: benignos, que não têm comportamento de câncer, e os malignos, que são câncer.
Mesmo quando é benigno, pode dar problema, pois a massa ocupa espaço, comprime estruturas sensíveis, pode enfraquecer a vértebra, aumentar o risco de fratura e deixar a coluna instável.
Tumores primários e metástases
Quando o tumor começa na própria coluna, ele é chamado de primário. Quando ele vem de outro órgão e se instala na coluna, é metástase.
Na prática, metástases são a causa mais frequente de tumor maligno na coluna. Esse detalhe muda exames, estratégia de tratamento e expectativa de controle.
Tumor na coluna tem cura? Quando a cura é possível
Tumor na coluna tem cura com mais chance em cenários bem definidos, que dependem do diagnóstico correto e de um plano bem alinhado entre a equipe de coluna e oncologia.
- Tumores benignos que podem ser removidos com segurança e com baixo risco de recidiva.
- Tumores malignos primários localizados, quando é possível retirar a lesão com margens adequadas e complementar com terapias oncológicas quando indicado.
- Casos selecionados de metástase, quando a doença no corpo está controlada e existe indicação de tratar o foco na coluna com intenção de erradicação local, algo que depende do tipo de câncer e do plano oncológico.
Quando a cura não é a meta, isso não significa falta de tratamento. Muitas vezes, dá para controlar a dor, proteger a medula e manter a autonomia com abordagem combinada.
Sinais de alerta que pedem avaliação rápida
Nem toda dor nas costas é grave. O que preocupa é a persistência, a progressão e o conjunto de sinais neurológicos. Procure avaliação médica com prioridade se existir:
- Dor que piora à noite, ou dor constante que não melhora com medidas simples.
- Dor que irradia para braço ou perna, com dormência ou formigamento.
- Fraqueza progressiva, tropeços, queda do pé, dificuldade para segurar objetos.
- Alteração de equilíbrio ou de marcha.
- Perda de controle de urina ou fezes, ou perda de sensibilidade na região íntima.
- História pessoal de câncer, perda de peso sem explicação, febre persistente.
Como é feito o diagnóstico
O diagnóstico começa com história clínica e exame neurológico. Depois entram os exames de imagem, escolhidos conforme o caso.
Quando existe suspeita clínica, tumor na coluna tem cura com mais chance se o caminho diagnóstico for rápido e bem direcionado.
- Ressonância magnética: melhor para medula, nervos e partes moles.
- Tomografia: detalha o osso e ajuda a planejar cirurgia e biópsia.
- Radiografia: pode mostrar colapso vertebral e alterações mais amplas.
- Exames de corpo inteiro: úteis quando há suspeita de metástase.
A confirmação do tipo de tumor costuma exigir biópsia. Ela define o subtipo, o grau de agressividade e quais tratamentos respondem melhor, orientando assim a conduta.
Quais tratamentos existem
O plano é individual e quase sempre é multidisciplinar.
O tumor na coluna tem cura em parte dos casos porque hoje existe combinação de técnicas para retirar, controlar ou reduzir a lesão e, ao mesmo tempo, proteger a medula e estabilizar a coluna.
Cirurgia
Indicada para retirar tumores benignos, descomprimir medula e nervos, tratar fraturas e estabilizar a coluna.
Em tumores selecionados, busca-se ressecção completa. Em outros, faz-se redução tumoral e descompressão para preservar função.
Radioterapia
Usada para controle local, alívio de dor e proteção neurológica. Em muitos casos, entra após cirurgia. Em tumores radiossensíveis, pode ser parte central do tratamento.
Tratamento sistêmico
Quimioterapia, terapias-alvo e imunoterapia podem ser indicadas conforme o tipo de câncer. Quando o problema é metástase, controlar a doença do corpo todo pesa muito no resultado na coluna.
Procedimentos minimamente invasivos
Vertebroplastia e cifoplastia podem ajudar em dor por fraturas, quando há indicação e segurança.
Esses procedimentos não substituem tratamento oncológico, mas podem estabilizar a vértebra e melhorar mobilidade.
Controle de dor e reabilitação
Analgesia adequada, fisioterapia orientada e reabilitação fazem parte do tratamento desde cedo. O objetivo é recuperar a força, reduzir a limitação funcional e retomar atividades com segurança.
O que muda o prognóstico
Tumor na coluna tem cura com mais chance quando o diagnóstico preciso com um ortopedista referência em coluna acontece cedo, antes de déficits neurológicos avançados e antes de grande destruição óssea.
O subtipo do tumor, a presença de doença em outros locais, a resposta à radioterapia e ao tratamento sistêmico e a possibilidade de estabilização adequada da coluna pesam muito.
A meta é objetiva: proteger a medula, controlar a doença e manter qualidade de vida.
FAQs
Tumor na coluna tem cura em todos os casos?
Não. A possibilidade de cura depende do tipo de tumor, do estágio e da viabilidade de controle local e sistêmico.
Dor nas costas sempre significa tumor?
Não. A maioria das dores nas costas não tem relação com tumor. Persistência, piora progressiva e sinais neurológicos justificam avaliação médica.
Quais exames costumam ser pedidos primeiro?
Quando há suspeita relevante, a ressonância magnética costuma ser o exame mais útil para avaliar medula e nervos, e a tomografia complementa a avaliação óssea.
Cirurgia sempre é necessária?
Não. Alguns casos respondem bem a radioterapia e tratamento sistêmico. Cirurgia entra quando há instabilidade, compressão neurológica ou necessidade de retirar a lesão.
Dá para caminhar de novo após compressão da medula?
Depende do tempo de compressão e do grau do déficit. Tratamento rápido aumenta a chance de recuperação.
“`
Agende sua consulta com o especialista
O Dr. Aurélio Arantes é ortopedista especialista em coluna em Goiânia, com mais de 2.000 cirurgias realizadas. Saiba mais sobre o tratamento ou agende pelo WhatsApp.



